PAD - Peripheral Arterial Disease - Leg

posted 4th November 2022

Peripheral Arterial Disease (PAD) Leg
£150
Each leg
What is included and why go private -
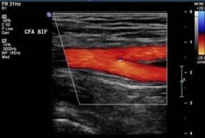
✓ Detection of PAD using Ultrasound
✓ Instant Results Summary
✓ No GP referral Required
✓ Having a scan with us cuts the risk of ulceration due to PAD
✓ Referred to GP if positive PAD diagnosed
✓ No waiting list
------------------------------------------------------------------------------------------------------------------------------------------------
What is Peripheral Arterial Disease (PAD)?
Peripheral arterial disease is from a narrowing or stenosis of the arteries which supply oxygenated blood to the legs. This is mainly caused by disease in the wall of arteries known as atheroma, which develops gradually over a length of time. It begins with cholesterol from the blood being deposited within the wall of arteries, leading to the thickening of the artery wall. This results in a narrowing or stenosis of the artery and a reduction of oxygenated blood flow to the leg.
What causes Peripheral Arterial Disease (PAD)?
Diabetes ,raised cholesterol, high blood pressure, obesity and lack of exercise, may all lead to PAD, however smoking & poorly managed diabetes are the most common causes. PAD occurs throughout the body and its consequences depend on which part of the body is affected. In the legs, the arteries become narrowed so that there is insufficient oxygenated blood supply to the exercising muscle. Therefore, you get a pain or cramp in the leg whilst walking, which disappears after a short rest (Intermittent Claudication).
If the arteries to the heart are affected then this may result in breathlessness, angina (chest pains) or even a heart attack. Similarly, a blockage of the carotid arteries to the brain may result in a stroke. Anyone who suffers with PAD is at much greater risk of atheroma to the arteries that supply the heart and the brain. Therefore, such patients are at increased risk of heart attack and stroke.
Am I At Risk Checklist -
You have hair loss on your legs and feet
You are over 65
You are diabetic
You have erectile dysfunction
You smoke
You have high blood pressure
You have numbness or weakness in the legs
You have ulcers (open sores) on your feet and legs, which don't heal
You have changing skin colour on your legs, such as turning pale or blue
You have brittle or slow-growing toenails
How should I prepare for my ultrasound?
Great news! No specific preparation is required, just bring yourself along and allow NumiScan North London to do the rest!